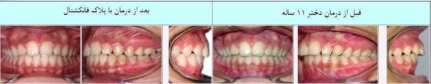
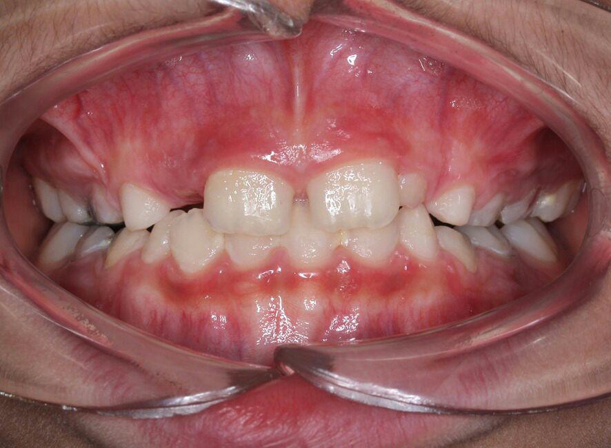
توضیحات آگهی
مطب تخصصی ارتودنسی دکتر پروین خرازی در تهران

نوع فعالیت:
مطب تخصصی ارتودنسی دکتر پروین خرازی در تهران
مطب تخصصی ارتودنسی
رتبه اول دندانپزشکی دانشگاه تهران
رتبه اول بورد تخصصی ارتودنسی در ایران
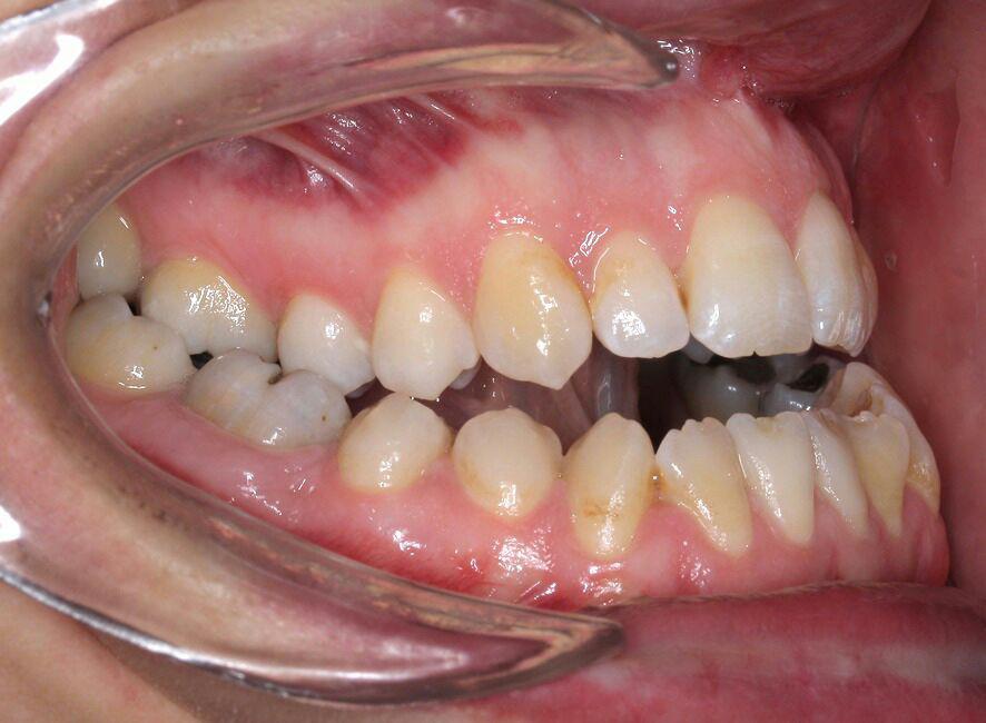
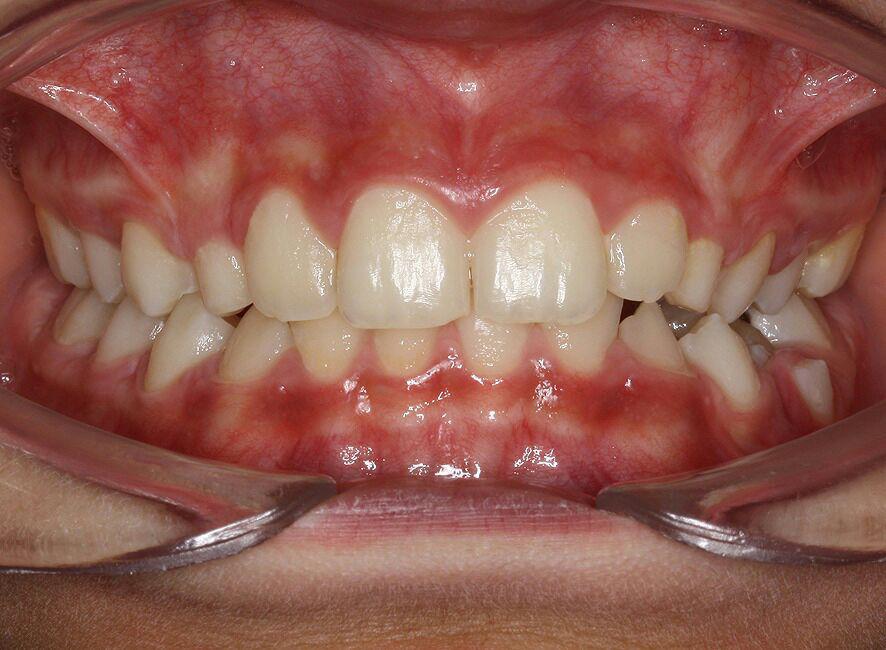
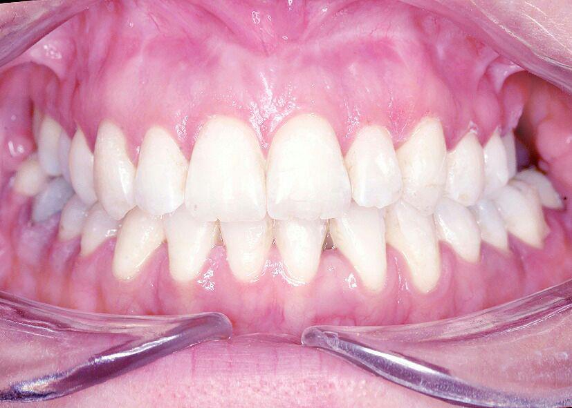
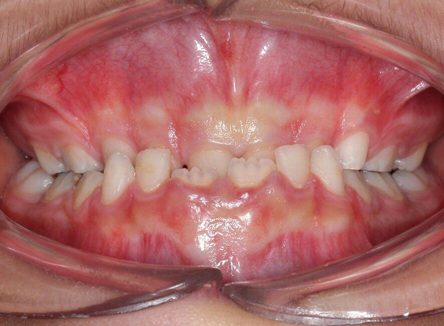
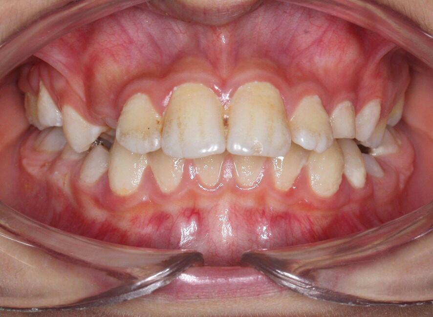
درمان ناهنجاری های دندانی و فکی
درمان دندانهای نامرتب
درمان دندانهای جلوزده
درمان فضا بین دندانها
درمان جلو بودن فک بالا
درمان جلو بودن فک پایین
درمان ارتودنسی در کودکان
درمان ارتودنسی در نوجوانان
درمان ارتودنسی در جوانان
درمان ارتودنسی در بالغین
درمان ارتودنسی جراحی
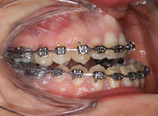
ارتودنسی ثابت
ارتودنسی متحرک
ارتودنسی نامرئی
کودکان و بزرگسالان
جرم گیری دندان
پر کردن فاصله بین دندان ها
پذیرش:
شنبه , یکشنبه , چهارشنبه ۱۵ الی ۱۹
پنجشنبه ها ۱۰ الی ۱۳
تماس:
تلگرام:
اینستاگرام:
وبسایت:
آدرس:
توضیحات بیشتر:
انواع ارتودنسی
مطب تخصصی ارتودنسی دکتر پروین خرازی در تهران
انواع ارتودنسی :
- ارتودنسی ثابت
- ارتودنسی متحرک
- ارتودنسی لینگوال
- ارتودنسی دیمون
مطب تخصصی ارتودنسی دکتر پروین خرازی در تهران
۱- انواع ارتودنسی ثابت :
براکتهای فلزی ثابت
بریسهای فلزی ثابت از زمانهای قدیم مورد استفاده قرار میگرفتند، اما امروزه وزن و ساختار سبکتری دارند. این براکتها دارای براکتهای فلزی هستند که روی هر دندان قرار میگیرند و همه آنها با سیم ارتودنسی به هم متصل میشوند و با فشار دادن روی دندانها باعث حرکت آهسته دندانها در جای مناسب خود میشوند.
ارتودنسی خود تنظیم شونده
این نوع ارتودنسی از فلز یا سرامیک ساخته میشوند و مزایای زیادی دارند. براکتهای خود تنظیم شونده نوعی بریس هستند که در آنها دیگر از کش استفاده نمیشود و بجای آن از مکانیزم یکپارچه استفاده میکنند.
ارتودنسی ثابت پشت دندان
این نوع بریس برخلاف دو بریس قبلی روی سطح داخلی دندان نصب میشود و قابل مشاهده نیست. این بریسها مشکلاتی مانند درد در زبان، مشکلات تکلم و تمیز شدن سخت پس از نصب در دهان را برای بیمار به همراه خواهد داشت.
در این روش وسایل ارتودنسی روی دندان دیده نمیشود. برای همین زیبا سازی دندان و نامرئی بودن بریسها با استقبال بیشتر مردم همراه بوده است.
این نوع ارتودنسی نیاز به ظاهری شفاف، زیبا و زمان کمتری برای ویزیت دارد. ارتودنسی ثابت نامرئی را میتوان به سه شکل استفاده کرد: ارتودنسی نامرئی لینگوال، ارتودنسی نامرئی با پلاکهای شفاف و ارتودنسی نامرئی با براکتهای همرنگ دندان.
مطب تخصصی ارتودنسی دکتر پروین خرازی در تهران
۲- ارتودنسی متحرک
دستگاههای ارتودنسی متحرک نوعی ارتودنسی است که، بیماران میتوانند در صورت نیاز، هنگام غذا خوردن و مسواک زدن و… برای راحتی بیشتر و بهداشت بهتر آن را از دهان خارج کنند و پس از انجام کار دوباره دستگاه را به سر جای خود قرار دهند.
انواع اورتودنسی متحرک
دستگاههای غیرفعال در پایان درمان برای حفظ حرکات انجام شده و برای اینکه دندانها دوباره نامرتب نشوند استفاده میشود. برای کارگذاری آن نیاز به انجام عمل نیست، فقط دندانها را در موقعیت خود نگه میدارند.
دستگاههای فعال این دستگاهها حاوی عناصری هستند که فشار وارد میکنند تا دندانها به سر جای مد نظر حرکت کنند.
مطب تخصصی ارتودنسی دکتر پروین خرازی در تهران
۳- ارتودنسی لینگوال
در ارتودنسی معمولی، براکتها با سیمهای مخصوص دندان پزشکی به جلوی هر دندان متصل میشوند و باندهای لاستیکی یا گیرههای درون براکتها سیم قوسی را میگیرند که دندانها را از طریق تنظیمات تدریجی در راستای هم قرار میدهد. این روش ارتودنسی بسیار موثر است، اما، حتی با براکتهای سرامیکی یا شفاف، قابل مشاهده هستند.
در لغت نامهها کلمه لینگوال به معنای سمت زبان میباشد و تفاوت اصلی این نوع بریس با سایر روشهای ارتودنسی در این است که لینگوال در سمت زبان قرار میگیرد. با استفاده از این گزینه، براکتها به صورت سفارشی طراحی شدهاند تا در داخل دندان شما اعمال شوند. یک برنامه درمانی دقیق به طور خاص برای شما طراحی شده است و سیمهای قوسدار داخل دهان به سمت زبان، دندانهای شما را به بهترین حالت خود هدایت میکنند. تشخیص ارتودنسی لینگوال تقریبا غیرممکن است.
مطب تخصصی ارتودنسی دکتر پروین خرازی در تهران
۴- ارتودنسی دیمون
ارتودنسی دیمون کوچکتر هستند و تمیز کردن آنها را آسانتر و کمتر به چشم میآیند. ما میخواهیم تجربه شما از بریسها قابل کنترل باشد و در سبک زندگی شما اختلال ایجاد نکند. ارتودنسی دیمون میتوانند زمان درمان شما را کاهش دهند. بریسهای سیستم Damon مزایای زیادی دارند:
راحت: براکتهای دیمون بدون بند که نیازی به سفت شدن ندارند
و روی دندانها و بافتها ملایم هستند
سالمتر: ۵۰۰ الی ۶۰۰ برابر نیروی کمتر وارد شده به دندان به معنای لثهها و دندانهای سالمتر است.
سریعتر: سیمهایی با فناوری پیشرفته و حافظهدار که به سرعت دندانها را حرکت میدهند.
سفارشی: برنامه درمانی متناسب با وضعیت شما است و دفعات مراجعه شما به دندانپزشکی قابل برنامهریزی است. پس با ارتودنسی دیمون میتوانید در وقت و هزینه صرفه جویی کنید.
مطب تخصصی ارتودنسی دکتر پروین خرازی در تهران
نقد و بررسیها
هنوز بررسیای ثبت نشده است.