توضیحات آگهی
دکتر حمیدرضا عجمی در اردبیل

نوع فعالیت:
دکتر حمیدرضا عجمی در اردبیل
جراح فک , صورت و زیبایی
هیات علمی دانشگاه دندانپزشکی اردبیل
جراحی دندانهای نهفته
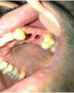
ایمپلنت
جراحی کیست ها و ضایعات ناحیه فک و صورت
جراحی زیبایی بینی
پذیرش:
همه روزه ساعت ۱۶ الی ۲۱
تماس:
اینستاگرام:
آدرس:
توضیحات بیشتر:
دکتر حمیدرضا عجمی در اردبیل
تزریق ژل و بوتاکس
زاویه سازی فک
جراحی زیبایی فک (رینوپلاستی)
جراحی زیبایی پلک (بلفاروپلاستی)
تصحیح ناهنجاریهای ناحیه فک و صورت
جراحی شکستگیهای ناحیه فک و صورت
جراحی زیبایی (به انگلیسی : Cosmetic Surgery) بخشی از جراحی پلاستیک است که شامل تعدادی از عملهای جراحی است که به منظور بهبود ظاهر، زیبایی صورت یا بدن فرد انجام میشود. هدف از جراحیهای زیبایی اصلاح ویژگیهایی از بدن است که ممکن است فرد به دلایل مختلف مانند آسیبدیدگی، نارضایتی شخصی با توجه به استانداردهای زیبایی و موارد دیگر، آنها را دوست نداشته باشد
دکتر حمیدرضا عجمی در اردبیل
انواع جراحی زیبایی:
☑انواع جراحیهای زیبایی به شرح زیر است:
افزایش حجم سینه (پروتز سینه) Augmentation Mammaplasty (Breast Augmentation)برداشتن چربی گونه (کاهش حجم گونه) Buccal Fat Removal (Cheek Reduction)جراحی چانه (ژنیوپلاستی/منتوپلاستی) Chin Surgery (Genioplasty/Mentoplasty)درم ابرژن(بازسازی پوست) Dermabrasion (Skin Resurfacing)جراحی گوش (اوتوپلاستی) Ear Surgery (Otoplasty)کشیدن پوست صورت (ریتیدکتومی ) Facelift (Rhytidectomy)جراحی ژنیکوماستی (کاهش حجم سینه در مردان) Gynecomastia Surgery (Male Breast Reduction)پیوند و بازسازی مو Hair Transplantation and Restorationتزریق ژل و فیلر (فیلرهای پوستی) Injectable Fillers (Dermal Fillers)فرمدهی فک Jaw Contouringلیفت زانو Knee Liftلیپوساکشن (چربیبرداری) Liposuction (Lipoplasty)جراحی لیزری Laser Surgeryجراحی شکم و پهلو بعد از زایمان (مامی میک اور) Mommy Makeoverلیفت گردن (ریتیدکتومی پایینی) Neck Lift (Lower Rhytidectomy)Open Rhinoplasty: رینوپلاستی بازفیزیوگنومی (تعادل و بهبود چهره) Physiognomy (Facial Balancing and Enhancing)افزایش سریع حجم سینه Quick Recovery Breast Augmentationرینوپلاستی (جراحی بینی) Rhinoplasty (Nose Surgery)درمان رگهای عنکبوتی (اسکلروتراپی ) Spider Vein Treatment (Sclerotherapy)کشیدن پوست شکم (ابدومینوپلاستی ) Tummy Tuck (Abdominoplasty)لیفت بازو (براکیوپلاستی) UppLiposuctionو (Brachioplasty)واژینوپلاستی (زیبایی واژن) Vaginoplastyلیپوساکشن با کمک آب (WAL) Water Assisted Liposuction (WAL)برداشتن زانتلاسماXanthelasma Removalجوانسازی دست Youthful Hand Rejuvenationکاهش استخوان زیگوماتیک (کاهش حجم استخوان گون) Zygomatic Bone Reduction (Cheekbone Reduction)
دکتر حمیدرضا عجمی در اردبیل

نقد و بررسیها
هنوز بررسیای ثبت نشده است.