توضیحات آگهی
دکتر آرش محتشمیان در تهران

نوع فعالیت:
دکتر آرش محتشمیان در تهران
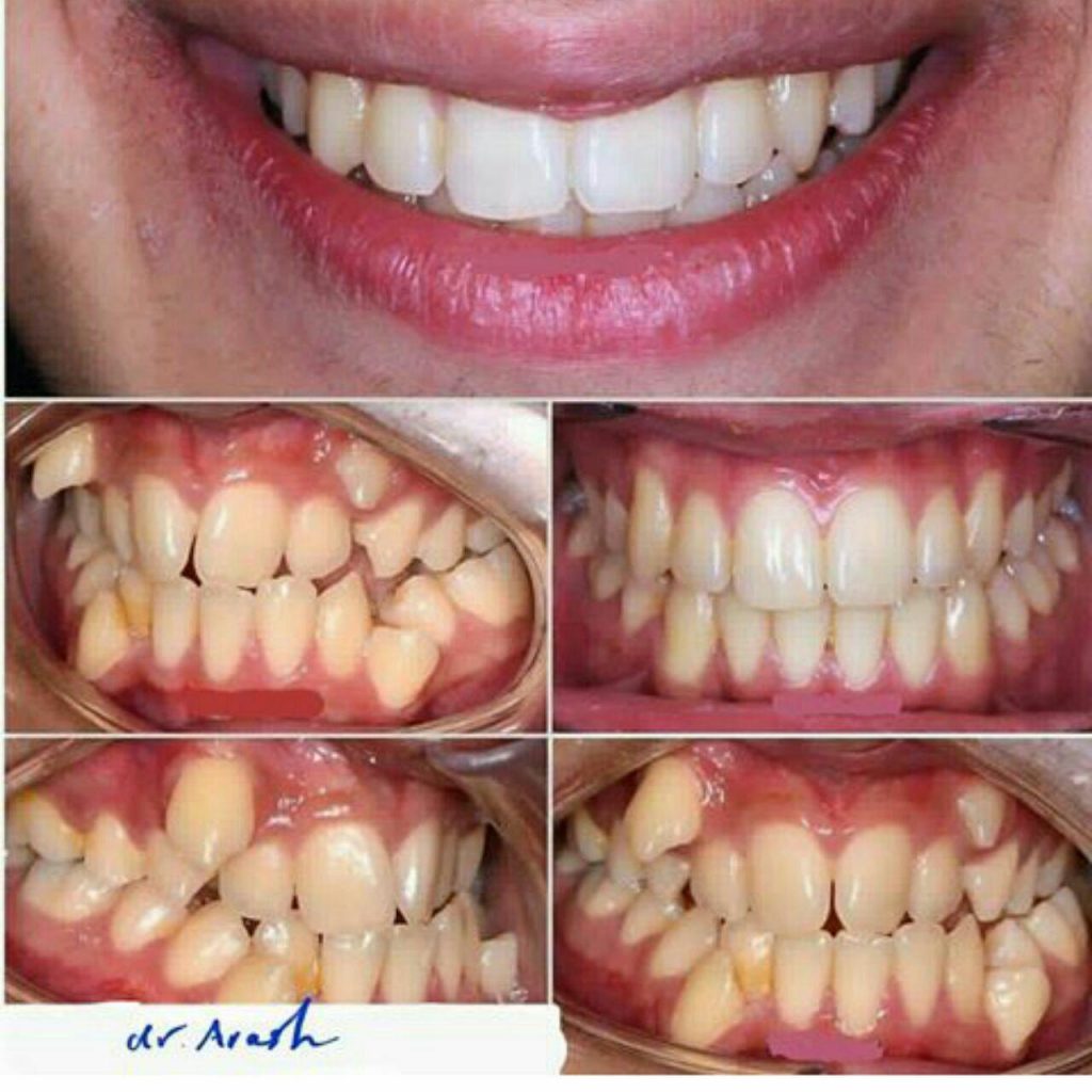
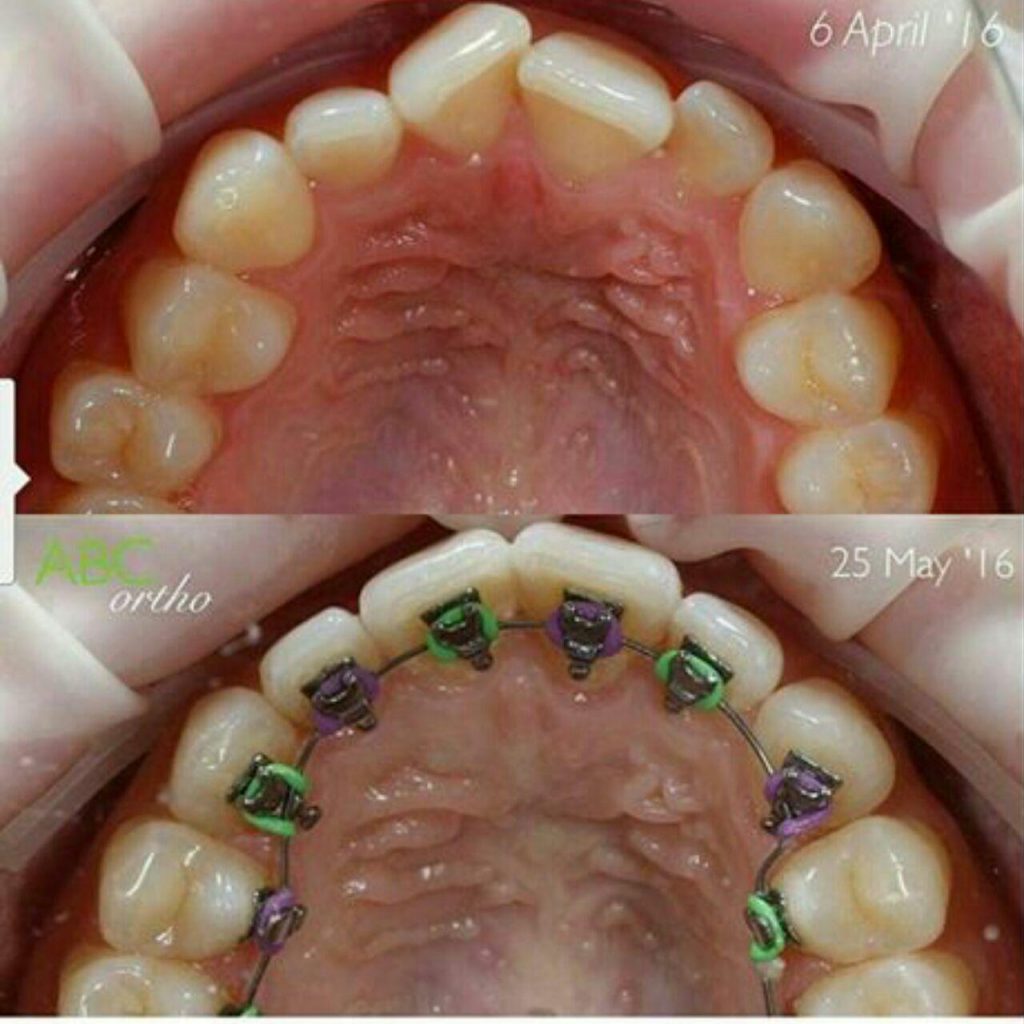
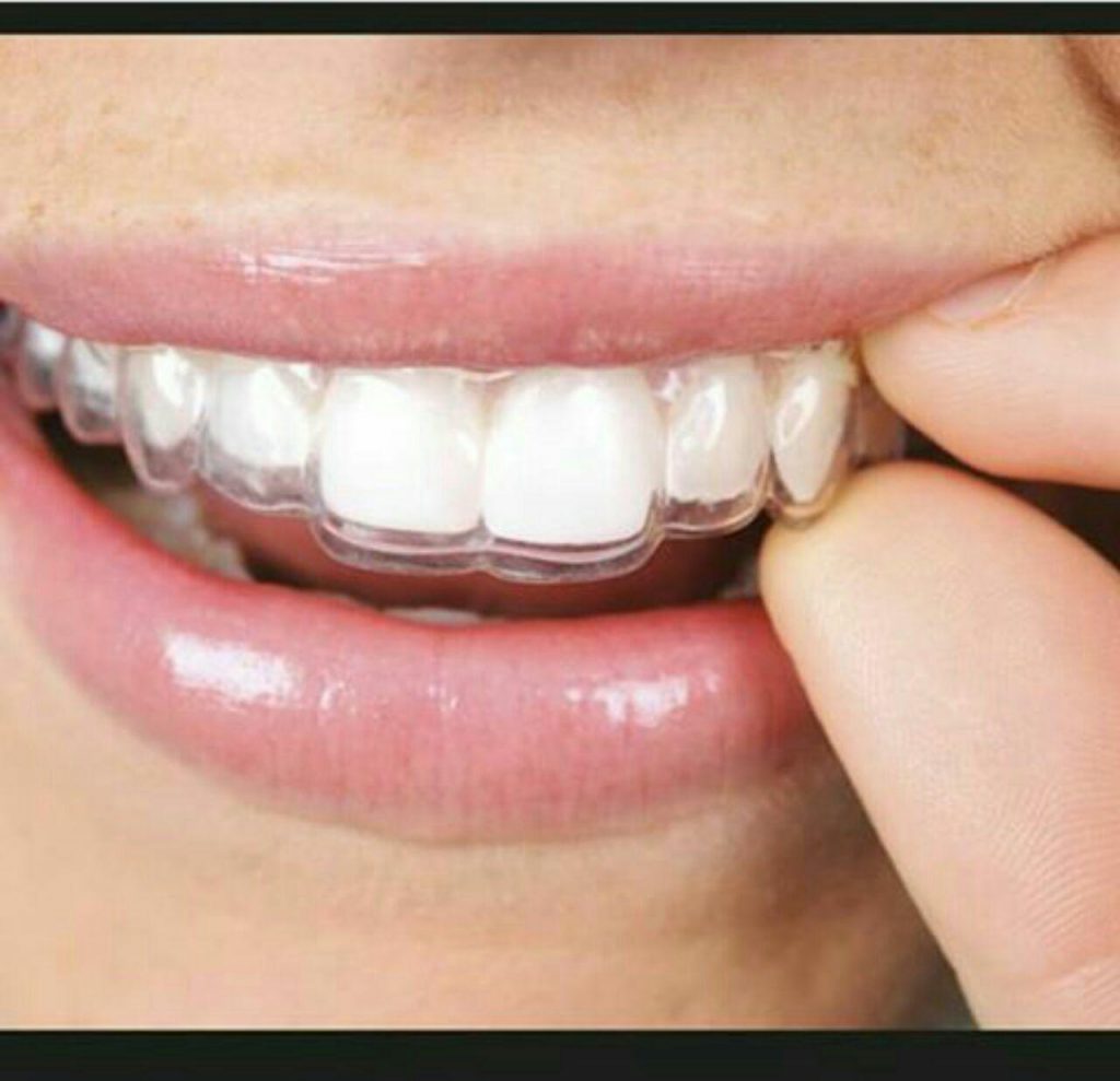
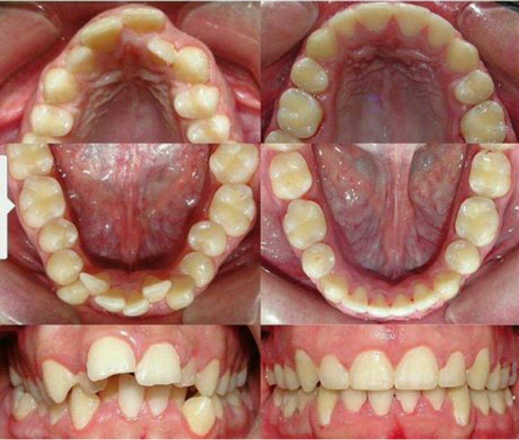
جراح , دندانپزشک , ایمپلنتولوژیست , ارتودنسی و زیبایی
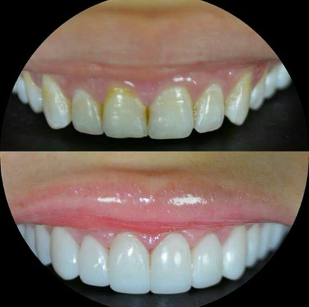
طراحی لبخند , لامینیت , ونیر , کامپوزیت
دارای گواهینامه ایمپلنت از فرانسه , بن آلمان و کره جنوبی
مدرن ترین ترین واحد دندانپزشکی منتخب کشور
اولین کلینیک دندانپزشکی تولید روکش های گلس سرامیکی در حضور بیمار در مطب در تهران و تحویل ۲۴ ساعته در صورت لزوم ۲ ساعته
پذیرش:
شنبه تا چهارشنبه / صبح و عصر / ۱۰ صبح الی ۱۹ عصر
*ساعت ۱۴ الی ۱۶ مطب تعطیل می باشد *
تماس:
واتساپ مطب
ایتا – بله – روبیکا – سروش پلاس
اینستاگرام:
آدرس:
تهران , شریعتی , ابتدای دستگردی ظفر , ساختمان پزشکان سبز, پلاک ۷ , طبقه ۶ , واحد ۲۴ , دکتر آرش محتشمیان
توضیحات بیشتر:
دکتر آرش محتشمیان در تهران
انواع خدمات و درمان های دندانپزشکی شامل چه مواردی میشود؟
همانطور که گفته شد برخی از خدماتی که در کلینیکهای دندانپزشکی ارائه میشود، در دسته خدمات درمانی و برخی نیز ترمیمی هستند. از طرفی نیز گاهی افراد برای دریافت خدمات زیبایی به دندان پزشکی مراجعه میکنند.
خدمات درمانی معمولا به دنبال دنداندرد، پوسیدگی دندان، جرم گرفتن دندانها، عفونت لثه و دندان، عفونتهای ریشه و دیگر خدمات دندان پزشکی موردنیاز است. درمانهای دیگر نیز ممکن است به دنبال آسیبهای جدی به دهان، دندان و فک موردنیاز باشد.
خدمات زیبایی برای زیباسازی دندانها و بهبود ظاهر آنها درخواست میشود. سفیدکردن دندانها، مرتب کردنشان و مواردی ازایندست در زمره خدمات زیبایی دندانپزشکی قرار میگیرد.
حال باتوجهبه این دستهبندی برای انواع خدمات و درمان های دندانپزشکی، در ادامه با یک دستهبندی دقیق انواع این خدمات را با جزئیات کاملتری بررسی خواهیم کرد.
دکتر آرش محتشمیان در تهران
خدمات و درمان های دندانپزشکی ترمیمی
خطر پوسیدگی دندان، بیماریهای لثه و ازدستدادن دندانها را میتوان با رعایت بهداشت دهان و دندان، رژیم غذایی کم قند و کم اسید، استفاده از محافظهای دندان هنگام ورزشکردن و مراجعه منظم به دندانپزشک کاهش داد.
ازاینرو معمولا بخش عمده و حائز اهمیت انواع خدمات و درمانه ای دندانپزشکی، شامل انواع روشهای درمان دندان و رفع مشکلات لثه است.
هر یک از این خدمات به دنبال درد دندان، شکستگی و پوسیدگی و موارد دیگر نیاز خواهد بود.
دکتر آرش محتشمیان در تهران
مهمترین گزینههای درمانی و ترمیمی در لیست خدمات دندانپزشکی شامل موارد زیر میشود:
. معاینات دندان پزشکی
بهصورت کلی بهتر است برای پیشگیری از بروز مشکلات مختلف دهان و دندان، خصوصا در خردسالان و کودکان در بازههای زمانی دوساله حتما برای معاینات دندان به دندانپزشکی مراجعه شود.
در زمان مراجعه برای دریافت انواع خدمات و درمان های دندانپزشکی، متخصص دندان پزشکی با پرسیدن سؤالاتی عمومی در خصوص شرایط دندانها اطلاعات لازم را به دست میآورد.
سپس دندانپزشک تمام دندانها را با ابزارهای مخصوصی به نام آینه و پروب یکییکی بررسی میکند تا به دنبال مسائل و مشکلاتی مانند پوسیدگی دندان، بیماریهای لثه و سایر موارد باشد.
علاوه بر این تمامی بافتهای نرم دهان مانند لثهها، زبان، لب ها و کام از نظر سرطان دهان و سایر مشکلات احتمالی بررسی و غربالگری خواهد شد. حتی در مواردی ممکن است دندانپزشک مفاصل فک و غدد لنفاوی را نیز بررسی کند.
دکتر آرش محتشمیان در تهران
در مواردی نیز ممکن است تشخیص مشکلات دهان و دندان مانند پوسیدگی یا عفونت بهسختی با چشم امکانپذیر باشد. بنابراین در این شرایط یکی از خدمات دندانپزشکی ارائه شده، عکسبرداری یا اشعه ایکس از دندانهاست.
در نهایت با درنظرگرفتن تمام این موارد، دندانپزشک در صورت وجود هرگونه مشکلی گزینههای درمانی را پیشنهاد خواهد داد.
دکتر آرش محتشمیان در تهران
نقد و بررسیها
هنوز بررسیای ثبت نشده است.