118 ایران
118 ایران

توضیحات آگهی

کلینیک دندانپزشکی دکتر علی جلالی پور در آبادان

کلینیک دندانپزشکی دکتر علی جلالی پور
کلینیک دندانپزشکی دکتر علی جلالی پور

نوع فعالیت:

کلینیک دندانپزشکی دکتر علی جلالی پور در آبادان

جراح دندانپزشک

انجام کلیه خدمات دندانپزشکی :

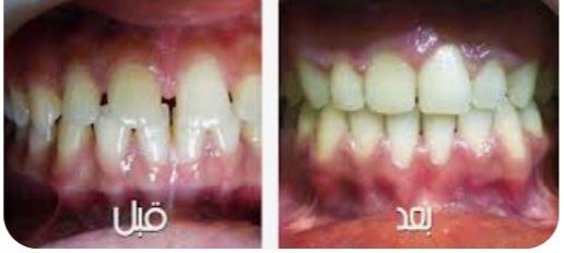
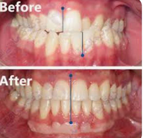
عصب کشی , ترمیم پروتز های ثابت و متحرک , زیبایی , کامپوزیت , لمینیت , ایمپلنت , ارتودنسی به صورت اقساط

با بیش از 23 سال سابقه کاری

طرف قرارداد با بیمه

نظام پزشکی:۹۰۱۷۹

پذیرش:

صبح و عصر

تماس:

۰۹۲۳۳۰۲۳۴۱۵

۰۶۱-۵۳۲۲۳۰۴۶

اینستاگرام:

clinic_dr_alijalalipour

آدرس:

 خوزستان , آبادان , امیری فرعی دهم , پلاک 12 , روبروی کبابی جلوه

توضیحات بیشتر:

کلینیک دندانپزشکی دکتر علی جلالی پور در آبادان

ایمپلنت چیست؟

ایمپلنت مجموع قطعاتی است که با جراحی داخل فک ثابت می‌شوند روی آن دندان مصنوعی قرار می‌گیرد و در نهایت ظاهری مشابه با دندان طبیعی پیدا می‌کند.

به‌طور کلی برای گذاشتن ایمپلنت دندان چندین مرحله باید انجام شود تا قطعات تشکیل دهنده در کنار یکدیگر قرار گیرند و بیمار بتواند به جای دندان طبیعی از آن استفاده کند. ایمپلنت از نظر ظاهری مشابه دندان طبیعی است و در دهان همان حس طبیعی را برای جویدن القا می‌کند و سوء هاضمه ایجاد شده بر اثر ناتوانی در جویدن غذا را برطرف می‌نماید.

ایمپلنت دندان برای جایگزین کردن یک یا چندین دندان از دست رفته کاربرد دارد و می‌تواند برای تمام دندان‌ها به صورت ثابت یا متحرک استفاده شود. در هر دو حالت فوق کلمه ایمپلنت استفاده می‌شود اما حالت دوم بیانگر معنی واقعی ایمپلنت است و به مجموعه‌ای از قطعات ایمپلنت گفته می‌شود و هر کدام از قطعات به تنهایی نام و کارایی مجزایی دارند.

کلینیک دندانپزشکی دکتر علی جلالی پور در آبادان

مزایای ایمپلنت

بزرگ‌ترین مزیت ایمپلنت حفظ استخوان باقی‌مانده و جلوگیری از تحلیل استخوان (که به خاطر بی دندانی رخ می‌دهد) است. مزیت دیگر ایمپلنت عدم نیاز به تراش دندان‌های مجاور در صورت استفاده از پروتز ثابت و کمک به گیر و ثبات پروتز متحرک از طریق ساختن اوردنچر (پروتز متحرک متکی بر ایمپلنت) است.

  • کاشت دندان را می‌توان در زمره درمان‌های دندانپزشکی مادام العمر قرار داد.
  • از جنس آلیاژ تیتانیوم است که پوسیده نمی‌شود
  • نوع مرغوب‌تر آن استحکامی بیش از دندان طبیعی دارد
  • اگر از تکنیک پیشرفته استفاده شود درمان ایمپلنت در ردیف درمان‌های دندانپزشکی کوتاه و کم‌درد است.
  • در مقایسه با هزینه‌های چند بار پر کردن و عصب کشی دندان، روکش دندان و … در دراز مدت درمان کاشت دندان درمان می‌تواند مقرون به صرفه باشد.

مزیت ایمپلنت نسبت به بریج

عدم استفاده از دو دندان سالم مجاور به عنوان پایه در ایمپلنت گذاری؛ آنگونه که در روش بریج استفاده می‌شود و امکان آسیب دیدن و در نهایت از دست رفتن آنها را بیشتر می‌کند، کاشت ایمپلنت، از آسیب به دندان‌های مجاور ممانعت می‌کند و نیز وجود فیکسچر در استخوان فک، پدیده تحلیل استخوان فک را به میزان چشمگیری کاهش می‌دهد.

در بعضی موارد مراجعه دیرهنگام فرد برای کاشت دندان (ایمپلنت) یا وجود کیست و تومورهای دهانی منجر به از بین رفتن فضای مناسب و کم شدن قطر و ارتفاع استخوان فک می‌شود که در این حالت، دندانپزشک قبل یا همزمان با جایگذاری فیکسچر، با استفاده از پودر و بلاک استخوانی و ممبرین (بایومتریال‌ها) استخوان را بازسازی کرده تا شرایط مناسب برای قرارگیری ایمپلنت مهیا گردد. در این مواقع طول درمان بیمار (آماده شدن استخوان برای جایگذاری ایمپلنت) بسته به شرایط بیمار از ۳ تا ۶ ماه طول می‌کشد و دندانپزشک به کمک عکس‌های رادیوگرافی می‌تواند روند درمان را دنبال کند و بهترین زمان را برای کاشت ایمپلنت تشخیص دهد.

کلینیک دندانپزشکی دکتر علی جلالی پور در آبادان

دیدگاه خود را بیان کنید

نقد و بررسی‌ها

هنوز بررسی‌ای ثبت نشده است.

اولین کسی باشید که دیدگاهی می نویسد “کلینیک دندانپزشکی دکتر علی جلالی پور در آبادان”

نشانی ایمیل شما منتشر نخواهد شد. بخش‌های موردنیاز علامت‌گذاری شده‌اند *

بیست − 18 =