توضیحات آگهی
دکتر عبدالعلی خزایی در تهران

نوع فعالیت:
دکتر عبدالعلی خزایی در تهران
جراح و دندانپزشک زیبایی
ویزیت تلفنی
پذیرش:
شنبه تا چهارشنبه از ساعت 11 الی 16
تماس:
09384236747 واتساپ
اینستاگرام:
آدرس:
تهران , خیابان شریعتی , جنب ایستگاه مترو قلهک , خیابان کدویی , نبش شکوفه , ساختمان پزشکان شکوفه , پلاک 1 , واحد 2
توضیحات بیشتر:
دکتر عبدالعلی خزایی در تهران
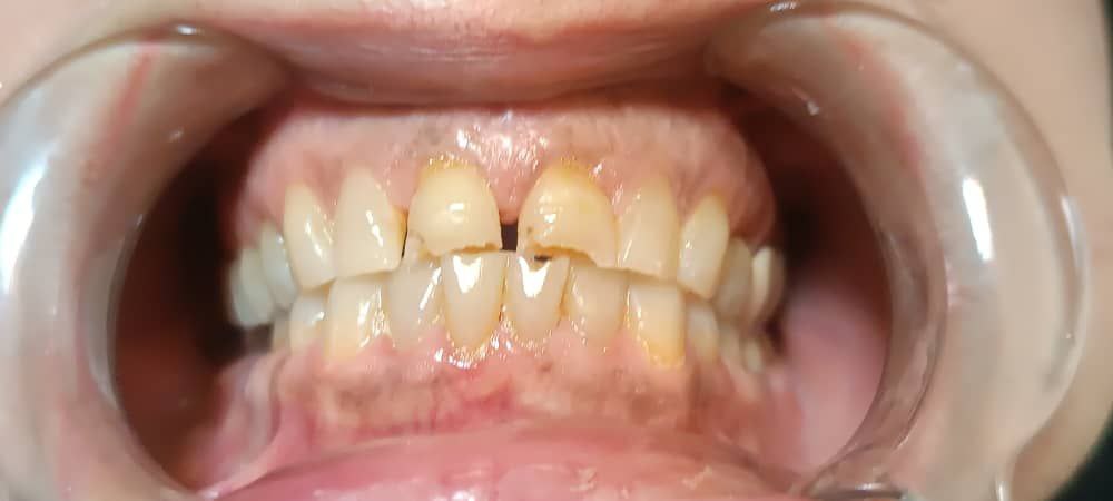
ونیر کامپوزیت
کامپوزیت ونیر دندان تکنیکی است که با مواد هم رنگ دندان (کامپوزیت) که همان مواد ترمیم دندان هستند، بدون دخالت نرم افزار و بدون نیاز به لابراتوار در مطب و به صورت دستی در یک جلسه توسط متخصص دندانپزشک انجام می شود. کامپوزیت دندان را می توان از متریال های مهم در دندانپزشکی دانست که برای امور مختلفی مورد استفاده قرار می گیرد.
بیشتر کاربرد های این متریال در حیطه اقدامات دندانپزشکی زیبایی است. عموماً از این ماده برای انجام ونیرهای کامپوزیتی استفاده می شود. این ونیرها دقیقاً کاربردی شبیه لمینیت های سرامیکی دارند که به صورت لایه ای نازک بر روی دندان ها قرار می گیرند و از این طریق مشکلات دندانی نظیر پریدگی لبه، تغییر رنگ، ساییدگی و… را بر طرف می کنند. البته این تنها کاربرد کامپوزیت نیست.
از متریال کامپوزیت برای پر کردن یا ترمیم برخی از مشکلات دندانی استفاده می شود. این کاربرد کامپوزیت را باندینگ دندان نیز می گویند که در آن از رزین کامپوزیت برای رفع برخی از ساییدگی ها، پرکردن سوراخ ها یا ترک ها، رفع شکستگی ها و غیره استفاده می شود. از طرفی دیگر این ماده می تواند مقاومت و دوام بالایی داشته باشد همچنین شکل و ساختار آن نیز مشابه دندان های طبیعی است.
مازاد بر این، هزینه آن نسبت به لمینیت های سرامیکی پایین تر بوده و همین مورد هم سبب محبوبیت آن در بین مردم شده است. باید این موضوع را هم خاطر نشان کرد که استفاده از ونیرهای کامپوزیتی نیاز به تراش ندارد و عموماً به صوت ماده ای خمیری شکل بر روی دندان ها قرار می گیرد. این فاکتور سبب شده تا استفاده از آن رشد بیشتری داشته باشد. هزینه کامپوزیت ونیر از لمینیت سرامیکی کمتر بوده و طی یک جلسه به صورت لایه ی نازکی روی دندان ها قرار می گیرد؛ و البته عمر کوتاه تری نیز نسب به لمینیت های سرامیکی دارد.
دکتر عبدالعلی خزایی در تهران
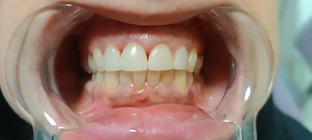
لمینیت سرامیکی
لمینیت دندان یک پوسته شفاف و نازک سرامیکی است. لمینیت سرامیکی فرآیند طولانی تر و پیچیده تری نسبت به کامپوزیت ونیر دارند. بهترین روش برای اصلاح بد شکلی و بد فرمی دندان ها، مشکلات عمیق بد رنگی و لکه های روی مینای دندان و همچنین مرتب کردن و رفع فواصل میان دندان ها و… استفاده از لمینیت های سرامیکی است. لمینیت ها که بسیار نازک اما مقاوم هستند روی لایه بیرونی و سطح جلویی دندان ها چسبانده می شوند تا ظاهر دندان ها را اصلاح کنند.
به این شکل می توان فرم لبخند را تغییر داد و به یک لبخند هالیوودی و زیبا رسید. در تکنیک پرسلن ونیر تبحر متخصص دندانپزشک در تشخیص میزان تراش و یا حتی عدم نیاز به تراش بسیار مهم است. در صورت تراش بیش از حد دندان ممکن است حساس شده و یا حتی به عصب برسد. لمینیت های سرامیکی از جنس مواد سرامیکی (پرسلن) هستند که با شفافیت و درخشش خود، ظاهری کاملا شبیه به دندان های طبیعی را ایجاد می کنند. مقاومت آن ها در برابر خوردگی و تغییر رنگ بسیار بالا است و تا سال ها درون دهان به خوبی باقی می مانند.
دکتر عبدالعلی خزایی در تهران





